" 熬夜刷手机 "" 作息昼夜颠倒 ",正悄悄击垮许多年轻人。
日前,话题 "30 岁小伙长期熬夜智力退回 3 岁 " 登上社交平台热搜,频发的年轻患者病例为我们敲响警钟。

近一个月内,宁波大学附属第一医院感染科已连续收治 8 例脑膜炎患者,他们的平均年龄仅 26 岁,最小的患者甚至只有 16 岁。
25 岁的小李(化名)每天刷手机视频到凌晨三四点。今年 10 月,她出现发热症状,体温最高达 38 ℃,还伴随持续头胀。有时候明明没温度,但头依然很胀。起初,小李以为没休息好,直到发热持续超过一周,才来到医院。
脑部磁共振报告显示其" 双侧额颞部脑膜稍增厚伴强化 ",提示脑膜炎。经 5 天抗病毒治疗,小李病情好转出院。

与小李相比,30 岁的宁波小伙小张(化名)病情更为凶险。他平时晚上没事喜欢打游戏,有时一玩就到了凌晨。
直到有一天小张因没去上班,被发现在宿舍高烧不退、言语不清,随即被送往医院。

送医途中,小张病情急剧恶化,转至宁波大学附属第一医院时已陷入昏迷。经检查,小张确诊 " 病毒性脑膜炎伴脑炎 ",这意味着他不仅脑膜发炎,脑实质也受到感染。
经治疗,小张虽脱离了生命危险,却留下严重后遗症——智力退至 3 岁儿童水平,生活完全不能自理。
为何看似平常的 " 熬夜玩手机 ",会让年轻人患上脑膜炎?宁波大学附属第一医院感染科副主任医师钱国清解释,这与" 血脑屏障 " 和免疫力密切相关。
血脑屏障是大脑的 " 保护罩 ",能阻挡细菌、病毒等病原体进入颅内,虽然熬夜本身不足以致病,但这一不良习惯会破坏这层 " 保护罩 "。
长期熬夜容易导致生物钟紊乱,血脑屏障通透性增加,病原体更容易突破屏障入侵颅内;
熬夜会使免疫细胞活性降低,人体抵抗力下降,原本存在于呼吸道、消化道内,与人体共生的病原体,会在免疫力薄弱时 " 兴风作浪 ",引发感染。
长期熬夜还会导致神经内分泌系统紊乱,进一步削弱身体对感染的抵抗能力。
在常见的脑膜炎致病病毒中,疱疹病毒最为多见,其次是肠道病毒。这类病毒引发的颅内感染,轻症患者经及时抗病毒治疗,通常 5-7 天即可好转,不会留下后遗症。

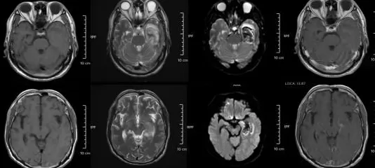
△某单纯疱疹病毒性脑炎患者的医学影像。图源:浙江大学医学院附属第二医院
但如果拖延治疗,甚至会引发脑炎,可能出现癫痫、肢体偏瘫、尿潴留、认知功能障碍等严重后遗症,恢复时间长达 3-6 个月,甚至影响终身。
不同类型的脑膜炎可能会导致不同的症状。但几乎所有类型的脑膜炎都会引起以下症状:
发热、头痛和颈部僵硬(下颌难以降至胸部),部分患者可出现恶心、食欲减退、乏力、嗜睡、反应迟钝等症状。不过,老年人或正在服用免疫抑制剂的人可能不会出现颈部僵硬或发热。

预防脑膜炎,关键在于日常的健康生活习惯。
保持规律作息,避免长期熬夜,每晚保证 7-8 小时睡眠。
加强营养,注意均衡饮食,适当运动,增强体质。
注意个人卫生,尤其是手部清洁,避免用手触摸口、鼻、眼睛等部位,防止病毒进入体内。
国家应急广播提醒
熬夜人群不要过度恐慌
但若出现不明原因的
发热、头痛、呕吐等
应及时就医排查颅内感染
尽早诊断和治疗至关重要
还木有评论哦,快来抢沙发吧~