·临床医生敏锐地捕捉病例特征;科研人员深耕分子机制;药企敢于在罕见病领域持续投入;患者互助组织整合多方力量,尤其是唤起公众对罕见病群体的关注与支持。哪怕患者数量再少,只要各方力量愿为他们的生命持续投入,让罕见病被“看见”,就能带来治疗的进步。
富达投资集团(Fidelity Investment Group)的掌门人Abigail Johnson,是全球商界极具影响力的女性,个人净资产超200亿美元。1988年在哈佛大学取得MBA学位后,她接手家族庞大产业,并于2014年正式出任富达投资集团的CEO。如今,她掌舵的商业帝国提供各类金融服务,业务遍布全球。Abigail Johnson的丈夫Christopher McKown同样拥有哈佛大学MBA学位,是一家医疗保健企业的创始人,还担任哈佛医学院的校董。这对夫妇还热衷于慈善捐赠,但与其他捐赠者不同,他们长期为一类极为罕见的疾病提供资金支持。这是一种全球仅有300余位患者,其中中国大陆仅有2例的特殊线粒体疾病:Barth综合征。是什么让他们关注到了这一极端罕见病?
是“新”病也是“心”病
Barth综合征是一种比较“新”的疾病。1983年,荷兰阿姆斯特丹大学医院儿科医生Peter Barth报道了一个跨越五代人的大家系,其中男孩大多在婴幼儿期夭折,有些死于败血症,有些死于心力衰竭。女孩则表型正常。这种遗传模式是典型的X染色体连锁遗传病。Barth认真研究了这个家系,对死亡的患儿进行了尸检,对存活的患儿开展了细致的生化、血液学、和组织学检查。最终发现,患儿肌肉组织中线粒体的结构奇特,且产生能量的关键结构--呼吸链--功能异常 [1]。这一发现让人类第一次认识到X染色体连锁的线粒体病--Barth综合征。

Peter G Barth MD., Ph.D.,荷兰阿姆斯特丹大学儿科神经病学名誉教授。Barth综合征的发现者和研究者。来源:https://www.medlink.com/
1991年,Barth医生在这一家系中进一步分析了疾病基因与X染色体的连锁关系,表明突变基因位于X染色体长臂q28区域 [2]。1996年,意大利的Daniela Toniolo等科学家利用四个疾病家系进一步精确定位并测序了该区域的5个基因,发现其中的TAZ基因(当时被称为G4.5)是导致Barth综合征的元凶 [3]。而女性之所以极少患病,也与遗传特性有关,女性细胞中两条X染色体呈现选择性失活模式,对携带突变的X染色体的负选择,使得几乎所有女性携带者都表现出完全健康的表型 [4]。2000年,Barth医生与合作者一起,揭示了该病的病因与细胞里一种特殊的脂质分子密切相关。这是一种在心脏、肌肉组织中高水平表达的磷脂分子—心磷脂。
与细胞膜常见磷脂不同,心磷脂是由甘油连接两个磷脂酰残基组成的磷脂二聚体。在线粒体内膜中含量十分丰富,且可能通过影响膜结构调节线粒体内膜形态,进而影响线粒体呼吸链的组装。Barth等人证实,患者细胞合成心磷脂的速度与健康人一样,但总量却减少了75%。而且这种缺陷仅在Barth综合征患者细胞中出现,其他线粒体病患者并不会这样。这说明TAZ编码的蛋白tafazzin可能参与细胞内心磷脂的合成,一旦其功能异常,便会导致线粒体障碍 [5]。

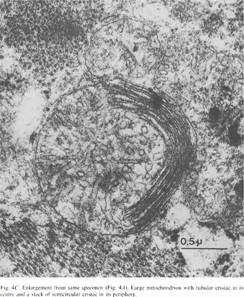
Barth医生拍摄的患儿心肌中异常线粒体的电子显微镜照片。来源:[1]
经过数年探索,如今已基本阐明疾病病因。心磷脂仅在线粒体内膜中从头合成,最初是不成熟的形式,其中脂肪链的长度与饱和度各不相同。随后心磷脂要经过一个成熟过程,在tafazzin等磷脂酰基转移酶的催化下,用亚油酸这种常见的脂肪酸取代不对称脂肪酸,经过多次脱酰基-再酰基化反应,最终形成成熟的、对称的心磷脂 [6]。在健康人的心脏和肌肉细胞中,80%的心磷脂都是这种成熟形式。在Barth综合征患者中,成熟的心磷脂严重缺乏,而大量未成熟的心磷脂累积或被降解。这进一步导致了线粒体内膜嵴结构异常以及呼吸链功能障碍,这是患者出现心脏等器官损伤的核心原因。

心磷脂的合成、重塑与分解。来源:[6]
在临床上,Barth综合征患者极为罕见,还存在着显著的漏诊、误诊问题。这与该病的临床特征多样有关。这些特征包括中性粒细胞减少、发育迟缓、以及心肌病和心率失常。中性粒细胞减少是早期表现,可导致患儿反复感染或败血症。生长迟缓是典型特征,但难以与其他疾病区别诊断。心肌病和心率失常在患者中发生率极高,70%患者在出生后第一年就会显现症状,但心脏疾病的表型本就复杂多样,难以确诊。目前临床上诊断Barth综合征,主要检测成熟心磷脂与未成熟心磷脂的比率以及TAZ基因的突变情况,为诊断提供重要依据。
由于疾病罕见,对疾病的治疗长期停留在对症管理阶段。对中性粒细胞减少症,可使用粒细胞集落刺激因子提升细胞数量。对扩张型心肌病,可使用血管紧张素转换酶抑制剂配合β受体阻滞剂改善心脏功能。对心率失常,需开展常规心电检测,及时发现并干预。而对于重度心衰的患者,在条件允许的情况下,可考虑人工心脏辅助治疗,或心脏移植--约有14%的患者接受了心脏移植手术 [6]。随着诊断技术的进步和管理方案的优化,患者预后已明显改善 [7]。
第一个线粒体疾病药物
尽管对症管理能在一定程度上缓解症状,但无法解决Barth综合征的核心病因--线粒体功能异常。科学家们尝试开发恢复TAZ基因或蛋白功能,或直接恢复线粒体功能的方法。提出的方案包括:利用病毒载体递送正常TAZ基因的基因疗法;制作可穿膜tafazzin蛋白,直接将有功能的酶送入细胞的酶替代疗法;大量摄入亚油酸增加心磷脂成熟几率的代谢疗法等等 [8]。这些方案各具潜力,但目前唯一走入临床成功获批的,是一种直接稳定线粒体内膜的短肽药物--elamipretide。
这款药物的研发可追溯至2003年,当时康奈尔大学杰出药理学教授Hazel Szeto等科学家发现了一类具有交替芳香阳离子基序的四肽,能轻松穿过细胞膜 [9]。这类肽段结构简单、易溶于水,进入细胞后还能精准定位于线粒体内膜。2013年,Hazel Szeto教授进一步发现,其中一种四肽可与心磷脂以1:1的比例选择性结合,起到保护线粒体内膜的作用,从而补偿了因心磷脂不成熟不稳定而导致的线粒体功能障碍。该药在多种模型中都展现出良好效果 [10]。药企Stealth BioTherapeutics随即开展项目,推动用该药治疗Barth综合征患者的临床试验。最终在2025年9月16日,FDA批准该药上市。这一事件意义重大,因为该药不仅是首款获批用于治疗Barth综合征的药物,更是人类医学史上首例获批的线粒体疾病治疗药物,为线粒体疾病的治疗开辟了路径。

短肽药物elamipretide(蓝色)结合在心磷脂(红色)的头部。来源:[11]
互助的力量
首款药物上市令患者们振奋不已。但鲜少有人知道,在药物发现到上市这十余年间,除了科学家和药企的积极投入,还隐藏着患者互助组织,尤其是Barth综合征基金会多年来的关键助力。
基金会的创始,来自于患儿母亲的坚持。来自南卡罗来纳州的Shelley Bowen,两个儿子都患有Barth综合征。Shelley在照护的同时,也始终为寻找诊治方法奔波。读到1983年Barth医生发表的那篇研究论文后,她带着儿子专程飞往阿姆斯特丹与他见面。Barth医生建议她,在治疗之外,还应积极联系其他患者家属,形成互助力量。于是,在2000年,Shelley Bowen与几位患儿母亲携手共创Barth综合征基金会(https://www.barthsyndrome.org/)。在她的积极推动下,基金会在方方面面开展工作。一方面,他们为患者提供权威专家信息及医学指南,搭建邮件列表打造患者社区,举办连接医学与家庭的学术会议;另一方面,基金会积极推动疾病研究,对接各大研究机构,为科研人员提供患者信息,协助医生开展试验;基金会还积极改进组织管理,在财务、流程等方面达到高标准,成功获准成为美国国家健康委员会的会员组织,得以与美国心脏协会、美国糖尿病协会等权威协会并列,为疾病研究争取更多资源。
如今的Barth综合征基金会,已从最初的家庭互助组织,成长为链接患者、医生与科学家的核心基础设施。基金会维护并更新已报道的TAZ突变的完整列表;维护全球患者及患者家属数据库;提供患者家庭支持计划;积极筹备会议和募集科研经费;为作出重要贡献的科学家颁布奖项;在科研领域,基金会与包括Barth医生在内的许多研究人员合作发表科研论文。仅2023年一年,全球就发表了25篇关于Barth综合征的论文,其中一半获得过基金会资助。面向社会,基金会也在积极发声。他们积极在各媒体讲述患者故事,将每年的4月5日定为“Barth综合征关注日”,让这一罕见病获得更多公众关注。他们的努力,成功吸引到包括Abigail Johnson在内的各界名流的参与和支持。
基金会不仅推动药物研发,还直接推动了药物上市进程。实际上,elamipretide的上市之路一波三折。多年前药企就启动了该药在原发性线粒体肌病治疗的新药申报,在2019年被FDA拒绝,认为还需要更可靠的临床数据。2021年,关键的2/3期临床试验TAZPOWER结果公布。这是一项针对Barth综合征患者的随机、双盲、安慰剂对照的交叉试验,包含两个阶段。在第一阶段12周治疗结束后,与安慰剂相比,药物组的主要及次要研究终点均未显示出显著改善。然而,在第二阶段36周治疗后,6分钟步行试验、膝关节伸肌力量、自我报告的疾病严重程度以及左心室每搏输出量显示出改善 [12]。但FDA又一次拒绝了申请,要求公司提供更大规模患者群体的疗效证据。公司认为,美国已没有符合临床试验标准的患者。此时,基金会成了打破僵局的关键,它意识到该病的极罕见性使其无法满足FDA对普通药物大规模临床试验的常规要求。同时,基金会援引美国国会授予FDA的“监管灵活性”政策,即允许FDA用变通的方法对严重且无药可治的罕见病评估药效,从而推动药物评审进程。
在短时间内,基金会组织了来自近60个国家的近两万个签名请愿,递交至FDA。同时积极游说国会议员,推动FDA利用灵活性政策。2024年初,FDA表示,针对该疾病开展额外的上市前随机对照试验确实不可行,决定同意再次审查该药的新药申请。2025年5月,FDA第三次拒绝了申请,但给出了新的方向:同意考虑将膝关节伸肌力量作为加速批准的指标,要求药企基于这一终点重新提交申请。经过反复沟通,药物在2025年9月16日终获批准。这一批准是“附带条件“的。FDA认为,该药物达到了增强肌肉力量的指标,但药企必须开展进一步研究,证实肌肉力量的增加确实有助于患者。此外,仅批准该药用于体重30公斤以上的患者,排除了新生儿。这一方面体现了对患者的支持,一方面体现出FDA的严谨 [13]。在这一药物审批的拉锯战中,基金会的奔走推动为这一首款线粒体疾病药物的诞生争取了宝贵的时间与可能。即使药物的疗效有限,也为Barth综合征患者,以及大量线粒体疾病患者带来了希望。
Barth综合征的疗法突破是罕见病诊疗领域的极佳案例。疾病治疗的进展并非单打独斗,而需要各界协作:临床医生敏锐地捕捉病例特征;科研人员深耕分子机制;药企敢于在罕见病领域持续投入;患者互助组织整合多方力量,尤其是唤起公众对罕见病群体的关注与支持。哪怕患者数量再少,只要各方力量愿为他们的生命持续投入,让罕见病被“看见”,就能带来治疗的进步。
(作者杨云龙,系复旦大学基础医学院细胞与遗传医学系教授、系主任,在中国细胞生物学会医学细胞生物学分会、中国优生科学协会基因诊断与精准医学分会兼职。作者曾梓睿,系复旦大学临床八年制本科生。疾病不断地改变着每个人的人生轨迹。但除了医生与医学研究者,人们很少有机会了解各式各样的疾病。“识病寻源”专栏将以一文一病的形式,介绍对疾病的认识进程,疾病的病因及其治疗。跟随医学科学的进步,理解现代医学。)
参考文献
1、Barth, P.G., et al., An X-linked mitochondrial disease affecting cardiac muscle, skeletal muscle and neutrophil leucocytes. J Neurol Sci, 1983. 62(1-3): p. 327-55.
2、Bolhuis, P.A., et al., Mapping of the locus for X-linked cardioskeletal myopathy with neutropenia and abnormal mitochondria (Barth syndrome) to Xq28. Am J Hum Genet, 1991. 48(3): p. 481-5.
3、Bione, S., et al., A novel X-linked gene, G4.5. is responsible for Barth syndrome. Nat Genet, 1996. 12(4): p. 385-9.
4、Orstavik, K.H., et al., X chromosome inactivation in carriers of Barth syndrome. Am J Hum Genet, 1998. 63(5): p. 1457-63.
5、Vreken, P., et al., Defective remodeling of cardiolipin and phosphatidylglycerol in Barth syndrome. Biochem Biophys Res Commun, 2000. 279(2): p. 378-82.
6、Jefferies, J.L., Barth syndrome. Am J Med Genet C Semin Med Genet, 2013. 163C(3): p. 198-205.
7、Rigaud, C., et al., Natural history of Barth syndrome: a national cohort study of 22 patients. Orphanet J Rare Dis, 2013. 8: p. 70.
8、Pang, J., et al., Barth Syndrome Cardiomyopathy: An Update. Genes (Basel), 2022. 13(4).
9、Zhao, K., et al., Transcellular transport of a highly polar 3+ net charge opioid tetrapeptide. J Pharmacol Exp Ther, 2003. 304(1): p. 425-32.
10、Birk, A.V., et al., The mitochondrial-targeted compound SS-31 re-energizes ischemic mitochondria by interacting with cardiolipin. J Am Soc Nephrol, 2013. 24(8): p. 1250-61.
11、Szeto, H.H., First-in-class cardiolipin-protective compound as a therapeutic agent to restore mitochondrial bioenergetics. Br J Pharmacol, 2014. 171(8): p. 2029-50.
12、Reid Thompson, W., et al., A phase 2/3 randomized clinical trial followed by an open-label extension to evaluate the effectiveness of elamipretide in Barth syndrome, a genetic disorder of mitochondrial cardiolipin metabolism. Genet Med, 2021. 23(3): p. 471-478.
13、Leslie, M., First approved drug for mitochondrial disease raises hopes for more. Science, 2025. 390(6769): p. 114-115.
    		
 
                
还木有评论哦,快来抢沙发吧~